最近,美国Oncotarget(《肿瘤靶向》杂志)发表了一篇来自中国的论文,题目是“CT引导下经皮冷冻消融治疗复发性后腹腔软组织肉瘤:安全性和有效性研究”。该杂志影响因子6.5,发表的论文均需要有较高水平。
论文作者单位是中山大学一附院和暨南大学广州复大肿瘤医院。文章回顾分析两家医院72例患者冷冻消融治疗的结果。
结果显示:不良反应轻微,主要是1 、2度,包括发热(19例)、局部疼痛(11例)、呕吐(10例)、冻伤(6例)和神经损伤(1例)。发热主要见于大的肿瘤患者。中位无进展生存期和总生存期分别为37.0 ± 7.7 个月(范围 4–39 月) 和43.0 ± 5.9 个月 (范围 6–54 月),肿瘤越小的患者生存期越长,但不管肿瘤大小,治疗后肿瘤反应均相似。多因素分析显示,肿瘤大小、侵袭和有无转移,是影响患者预后的主要因素,肿瘤≥10 cm 者生存率较低。
结论:微创性经皮冷冻消融,是治疗复发性后腹腔软组织肉瘤的安全而有效治疗。

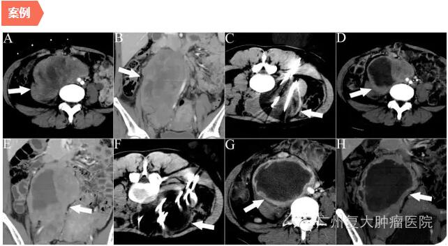
图示一位32岁女性患者,腹胀腹痛1个月,复发性后腹腔软组织肉瘤,接受两次冷冻消融。图中白箭头指示病变,白线指示冷冻探针,探针周围暗区系冰球。 A、B分别显示横断和冠状面增强CT上病变,同时显示主动脉矢状面; C 第一次冷冻消融,使用11根探针; D、 E第一次冷冻后1个月增强CT横断和冠状面,分别显示病变坏死、缩小; F第二次冷冻,使用10 根探针; G、H. 分别显示第二次冷冻后1个月增强CT的 横断和冠状面,肿瘤明显坏死和缩小。
后腹腔软组织肉瘤是起源于后腹腔的恶性肿瘤,占所有恶性肿瘤的0.15%,由于解剖位置特殊,临近腹腔内重要器官和组织,治疗特别困难。手术是局限性肿瘤主要治疗手段,5年生存率60%。术后复发不少见,一般须再切除,但是反复切除困难很大,化疗和放疗常采用,但效果有限。
局部治疗如射频消融、微波消融和冷冻消融常被推荐应用,其中,冷冻具有消融效果确实、在CT上可见到冷冻消融过程和止痛等优点。
上述论文显示,在CT引导下经皮冷冻消融可作为复发性后腹腔软组织肉瘤的有效治疗。