广州复大肿瘤医院刘正平医生一席谈

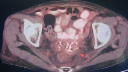
治疗前PET

治疗后PET
初看这是个人类凡事追求完美的惯性思维的问题,细想一下也确实不是个很简单的问题。
首先考虑这个问题就说明这个人对癌症还有无法消除的恐惧,因此希望除恶务尽;其次癌症患者和他们的家人们确实不清楚患癌的真正原因和癌症的发展过程,以为现代科技先进会有办法彻底消灭癌细胞;再者当今确实有些貌似良医包治包效彻底消除癌细胞防止复发的误导宣传影响了人们对这个问题的判断------这样就造成了癌症病人心理上的混乱、患者家属思想上的茫然、医生治疗方略上的千差万别,最后弄得癌症病人和家属不知所措、无所适从。
以至于有些癌症病人病急乱投医,成天打听新技术新药和偏方等,东奔西走、重复检查;拜神祈祷、胡乱吃药;一试再试,花钱是小,机会没了------非常令人痛心。其实,只要我们知道癌细胞在我们身体里是怎么产生的,就能平静下来正确面对:癌细胞是因为外来和身体内在的各种不良因素严重影响到我们正常的新陈代谢,从而细胞基因发生变异而产生的。这些快速生长但对身体有害无益的不正常细胞因为代谢较正常细胞旺盛而又存在缺陷生存力较差,因而是完全可能被我们用各种方法大部分甚至绝大部分消灭的,但致癌因素如果没有除去就肯定还会再产生,甚至再出现其它的癌细胞。
我们广州复大肿瘤医院四年前就曾经收治过中国大庆市一位同时身患5种癌症的病人,当时病情重发展也较快, 没人再帮她治疗了,在新闻媒体向社会呼吁救助的情况下,徐克成教授得知消息后亲自前往大庆市看望病人,觉得还有办法能帮她部分消灭肿瘤,进而控制病情进展,如是就带回来该病人,真的在三个月后病人病情明显缓解高高兴兴出院。
这说明我们光想着完全消灭癌细胞可不行,而是要防治结合、人瘤共存。如若对癌细胞进行所谓彻底的消灭处理,最终我们身体的正常细胞受到不可逆转的伤害会导致病人死亡------早期对癌症病人的治疗,因为缺乏经验,为了追求完全、干净、彻底的消灭病人身上的癌细胞,进行过渡放疗、化疗等治疗造成他们1/3的非正常死亡。现在肿瘤专科医生已经对此有所认识,加上新技术新药物的开发,副作用越来越小,应该是件幸事,但如果我们的癌症病人和其家属不从“一定要完全彻底的消灭身体里的癌细胞”这一误区中走出来,不甩掉自己这种不应该背负的思想包袱,不能使自己的精神愉悦、内分泌环境正常稳定免疫力不下降,就会事倍功半,反倒不利于控制癌细胞生长,就更不谈完全消灭癌细胞了。
既然我们现在基本还不可能完全根除癌症患者身体里的癌细胞,我们何不放眼未来呢?
这样一看就给我们治疗中晚期特别是老年晚期的癌症病人治疗带来新思路-----接受人瘤共存事实,坚持合理抗癌不放弃,对各个发现的癌肿采用新技术进行局部微小创伤杀灭肿瘤,加上支持对症治疗、改善功能,减轻病人痛苦、提高病人生活质量。人瘤共存,和谐发展有何不好?
我这里有个印尼病人(该病人不愿意太多人来探望他暂匿名)文老先生八十多岁,先期做过几十年老师,桃李满天下。不幸十多年前患前列腺癌当即进行了手术,术后有两次复发以放化疗为主控制病情发展,但一年前再次出现有多部位发生癌转移,当时对如此高龄的文先生很多癌症专家都觉得无法可医了,但文先生自己和老伴子女等并没有轻易放弃,后来找到我院给予多个复发癌症病灶分别以冷冻、碘125粒子植入及复合免疫治疗等处理,使得八十多岁高龄的他治疗后还能坚持不需要休息持续上班一年,现在还管理部分工厂事物,在家也是每日读书看报、散步锻炼怡然自得,目前病情稳定。当然,有这样的效果,真正达到人瘤和谐共处是不容易的,这是与患者本人勇敢面对并坚持抗癌,且公而忘私的高尚品格(从不让人知道或求助他人,默默地兢兢业业的工作)和其家人细致入微的照顾分不开的。
试想,该病人如果胆小怕事怨天尤人贪生怕死,每日只是求神拜佛祷告----心神不宁、身体内环境紊乱、免疫力势必进一步低下,恐怕病情就进展快得多了;又或是为消除身上存在的多处癌肿残余细胞,拼命的要求放化疗,恐怕心肾肝骨髓等器官功能早衰竭了,比癌症本身更要命。在此,我向这位德高望重的病人文老先生致敬,感谢他做出了好榜样,可以鼓励更多的癌症病人坚持正确的观念勇敢的与癌魔作斗争直至最终战胜它!
人之不同于一般动物,在于人总是有一种精神的。各人不同的精神境界决定了他们书写不同的人生,从生到死,由死复生-----只为自己而活的的人,他虽然还活着,却早已在别人心中死去;将自己生命作为蜡烛点燃的人,他泪干而灭时,却点亮了众人心中的那盏神灯------