文/广州复大肿瘤医院副院长 李海波
2016年1月3日,大多数人还在欢度元旦假期的时候,我们医院已经正式上班啦!这样做,主要是尽量减少小长假对病人治疗的影响。要知道,病人心里都是非常着急的,哪怕是早一天治疗,对他们来说都是莫大的安慰。
上班第一天,我和牛立志院长一起,做了今年南院(复大肿瘤医院海珠院区)的第一台纳米刀手术,这也是复大肿瘤医院的第71台纳米刀手术。据悉,目前全国仅完成纳米刀手术100余台,复大肿瘤医院就占了70%左右,成绩骄人。

纳米刀消融是2012年美国FDA批准用于肿瘤消融治疗的新技术,而我国是在2015年6月批准用于临床的,仅限于胰腺癌和肝癌,其他肿瘤的适应症有待于临床进一步验证。
纳米刀的优势在于,它不依靠热或者冷效应来杀死肿瘤细胞,这有别于目前所用的射频消融、冷冻消融、微波消融等主流消融技术。纳米刀采用高压电场来破坏肿瘤细胞的细胞膜,使其产生不可逆的纳米级微孔,使肿瘤细胞内液流出细胞外导致细胞的死亡。纳米刀对血管、胆管、胃肠道及神经的损伤非常小,它能最大限度地保留正常的组织架构,利于正常组织的修复。因为这个特性,纳米刀可以用于现在主流消融手段不能做的禁区,对于胰腺癌有不可比拟的优势。
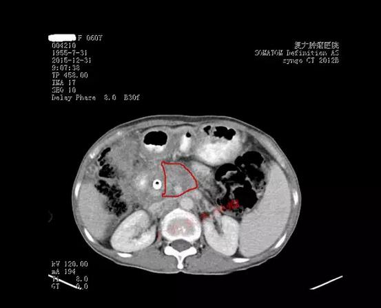
昨天,我们用纳米刀治疗的陈女士来自香港,是一位晚期胰腺癌病人。在香港,她的治疗失败了,肿瘤进展,阻塞胆总管,引起全身黄疸,不得不做了胆管内支架。不幸的是,支架引起胆道感染,持续发烧,两星期前体温才得以控制,可是,身体却变的非常虚弱,体重只有39.5公斤。在香港,接诊医生表示不可能再给她做任何治疗了。她多方打听,通过在广州的朋友得知复大肿瘤医院的纳米刀技术。咨询我之后,她来到我们医院,元旦前两天入院。

患者的CT检查结果

纳米刀消融肿瘤
陈女士的手术很顺利,CT加B超双引导双监测,肿瘤消融达到了90%以上。目前患者已经顺利脱离呼吸机,病情平稳,今天已离开ICU回到普通病房。我们计划几天后开始给予其他的抗肿瘤治疗,包括微血管介入和肿瘤免疫治疗。希望通过我们的努力,能给这位晚期胰腺癌患者更多的生存机会。祝福她!